審美歯科
口もとから美しさを獲得できるよう、
さまざま処置をご提案いたします。
口もとから
美しさを獲得できるよう、
さまざま処置を
ご提案いたします。


昔から、明眸皓歯と言いますが、きれいな歯並びや、健康的な歯の白さは美しい口もとを演出します。
もちろん、元来生まれ持った歯が最良なのは言うまでもありませんが、
奥歯の銀歯が気になるかた、
歯の色が気になるかた、
歯ぐきの色が気になるかた、
以前に治療した歯の付け根が黒くなっているかた、
神経が死んでしまった歯が着色しているかた、
など、
ご自身の歯の形や色にコンプレックスをお持ちの患者さんは多いものです。
特に保険診療の被せ物の歯は外側がプラスチックですので、材料そのものが劣化してしまって不潔になってしまったり、
表面だけが長年の嗜好(喫煙、ワイン、紅茶など)で着色している、もしくは、土台に用いている金属が溶け出してきて、
歯肉が黒くなっている、など、原因はさまざまです。
たとえば、被せ物をかぶせる場合には、かぶせてから、「あれ?思ってたのと違う…?」では困りますので、
あらかじめ仮の歯にて様子を見て、患者さんが十分に納得してから最終的なものを装着するようにしています。
前歯が変わると、口もとの印象は大きく変わりますので、仮の歯の段階で形態をしっかりと検討していくのです。
当院では、口もとから美しさを獲得できるよう、さまざま処置をご提案いたします。
ただし、美しさの基準というのは人により様々ですので、
私たちが考える歯の美しさと、患者さんが考える美しさとは異なることがあるかもしれません。
ひょっとしたら当院では解決できないこともあるかもしれません。
治療に入る前には当院でできること、できないことをしっかりご説明して解決の糸口を探って行きます。
※専門的な矯正治療を要する際には、信頼のできる先生をご紹介差し上げます。紹介料はいただいておりません。
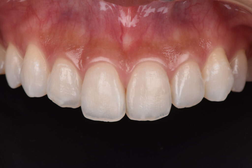
症例1



若年者には積極的にダイレクトボンディングをお勧めしています。なるべく歯を削らずに,生涯自分の歯で過ごせるように最小限の侵襲で、最大の治療効果を発揮させるにはダイレクトボンディングはうってつけの選択肢です。
反対側の健全な歯の色と形を参考に、をまるでコピー&ペーストしたかのように精密に細部まで再現しています。保険適応の治療では,決まった2-3色からしか色を選択できませんが、自由診療のダイレクトボンディングでは、その患者さんの歯の色に合わせて色を調合し、治療の痕跡がわからない “バレない治療” が可能です。このような小さな治療にこそ、職人技が光ります。
症例2



心配した親御さんと一緒に来院されましたが、ダイレクトボンディングはこのような状況でも迅速に審美と機能を回復することができる優れた治療法です。セラミック治療と比較して、費用が抑えられることもダイレクトボンディングの魅力です、思いがけない急なトラブルの際はぜひ一度ご相談ください。
症例3



この患者様のように、歯の形を大きく変更する場合、通常であればセラミックを用いた被せ物が一般的に最も美しい結果を期待できます。ただし、セラミックで治療を行う場合、歯を削る量が比較的多くなってしまうのが最大の欠点ですが、ダイレクトボンディングでは、歯の切削はほぼ0で治療を行うことが可能です。歯を削らない、ということは将来的に再治療が必要になった際の治療の選択肢が広がる、ということを意味します。
セラミック治療とダイレクトボンディングの利点・欠点をしっかりと説明した上で、その方にあった治療方針を一緒に検討するように心がけておリます。
症例4



このような状況では、セラミックを用いたラミネートベニア(薄い付け爪状の被せ物)、もしくはダイレクトボンディングが適応となります。今回の症例では、一切歯を削ることなく、ダイレクトボンディングで歯のシルエットを『細い樽型』から『丸みのある四角』に変更することで隙間を閉じて、若々しいスマイルに生まれ変わることに成功しました。
このように、ダイレクトボンディングは矯正治療との相性も良く、それらを併用することで理想的な機能と審美を達成することができます。各分野の専門医が在籍している当院だからこそ提供できる治療です。
症例5




正中離解の治療には矯正治療やダイレクトボンディングが考えられます。ダイレクトボンディングは即日で、比較的安価に見た目の改善を行うことができるのがメリットです。
また、この症例では、歯の表面にホワイトスポットと呼ばれる小さな白濁が認められました。こちらは『ICON』と呼ばれる特殊な薬液を使用することで、歯を削ることなく白濁の除去が可能です。一切天然歯を削ることなく、正中離解とホワイトスポットの改善を同時に一度のアポイントで達成することができました。
症例6



前歯の着色
ブライダルを控えた成人女性の患者様です。式の前に前歯2本の茶色い変色を治したいと来院されました。この着色はホワイトスポット、もしくはブラウンスポットといって、幼少期に永久歯ができる過程で生じたエナメル質形成不全症の一種です。表面的な着色ではないため、クリーニング等では除去することができません。
ホワイトスポット、ブラウンスポットの治療には『ICON』という歯の表面から薬液を浸透させる治療法が最も低侵襲な方法として用いられますが、今回のケースでは着色が深部まで到達しているため、ダイレクトボンディングを併用した治療が必要と診断しました。
医療ホワイトニングで茶色い色素を分解し、その後 ICON とダイレクトボンディングを併用して審美性を改善することができました。正しい診断力と確かな技術がなければこのような結果を得ることはできません。当院では、ホワイトニング、ICON、ダイレクトボンディング、それぞれのプロフェッショナルが連携をとり、患者様にあったトータルプランを提案できます。
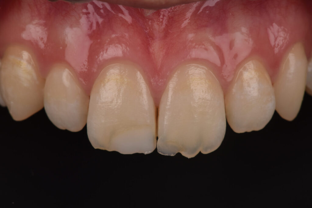
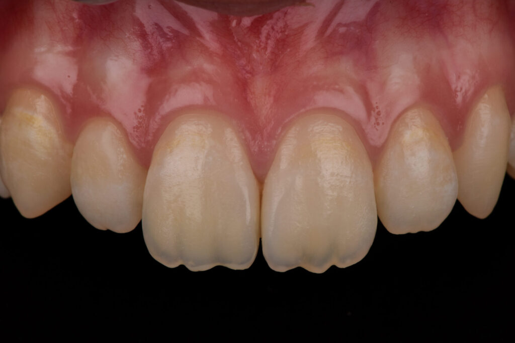
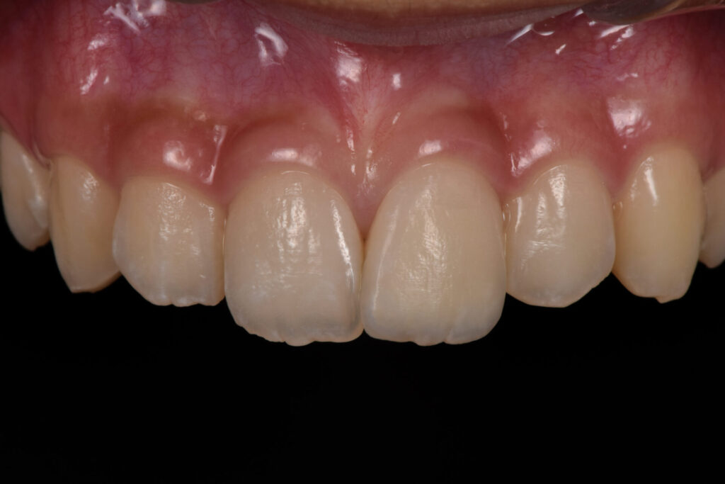
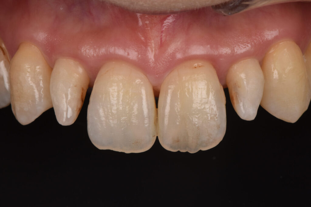
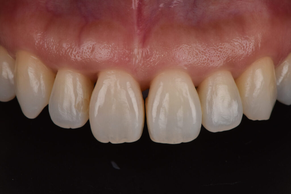
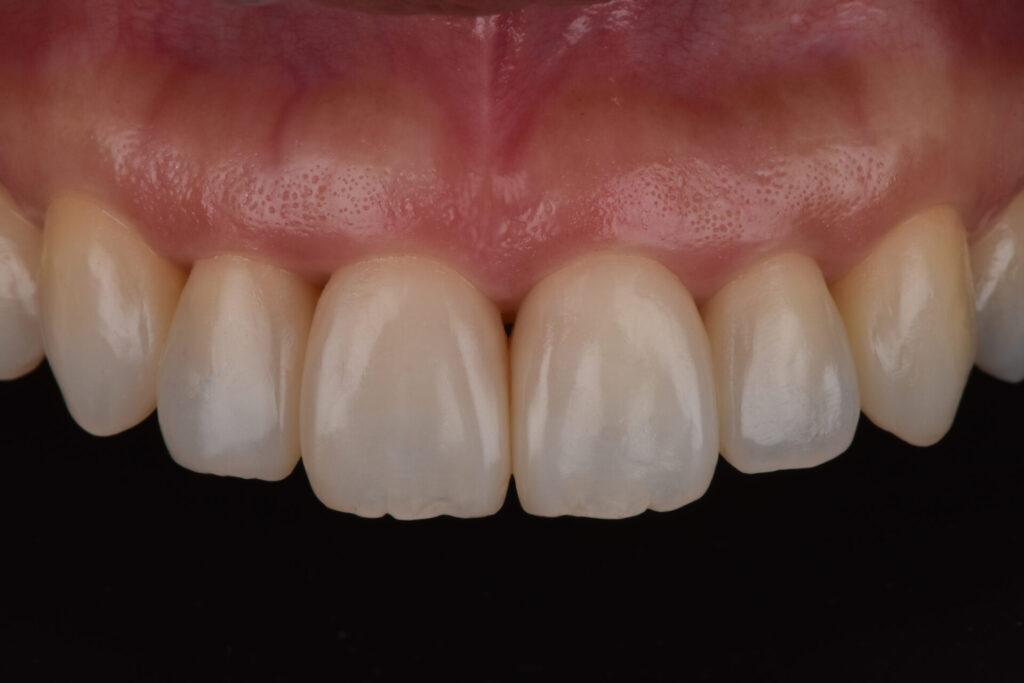
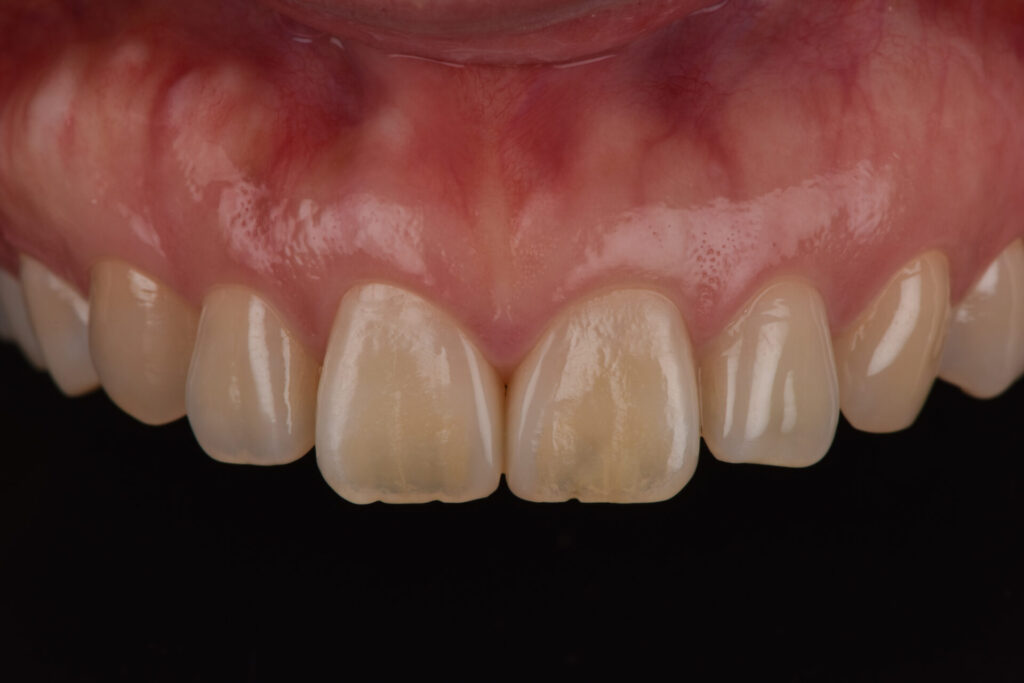
症例7



この患者さんは、20年ほど前に前歯に装着したメタルボンドクラウン(陶材焼付前装冠)の審美不良、ならびに歯頸部(歯の付け根の部分)の着色を気にされておりました。
前歯に装着された歯頸部の歯肉の黒ずみを気にされている方は多いものです。
特に日本人の女性は笑った時に歯肉が見える方が多いので、気にされる方は多いです。
例えば、この症例一つをとっても、黒ずみにはさまざまな原因があります。
①メタルボンドクラウンは内張りとして金属を用いるため、光を遮蔽するため、影に見える。
②内部にメタルコア(金属製の土台)が装着されており、メタルコアは銀合金を用いたものが多いため、銀が流出し、歯そのものが黒変していまい、長期経過で歯肉が下がり、かぶせ物の下の歯そのものが着色してしまっている。
また、今回のケースでは該当しませんが、その他に下記の理由が挙げられます。
③喫煙による歯肉の黒ずみ
表層一層のみの黒ずみなので、薬品を用いて表面を一層剥離し、新しい歯肉を出すことで黒ずみが消えます。(症例10をご覧ください)
④メタルタトゥ(金属による入れ墨)
金属製の土台を削って形を整えた時に、切削時の破片が歯肉に刺さり、入れ墨が入る。
こういった場合には歯肉そのものの着色なので、化学薬品を用いても残念ながら着色は除去できません。
こういった場合には歯周外科処置を行い、健康的な歯肉を口腔内の他の部位から移植する必要が出てきます。
希望される患者さん全員に適応できるものとは限りませんが、もし気になる方はどうぞ、お気軽にご相談ください。
