はじめに
「抜歯しかないと言われたが、できる限り歯を残したい」。仙台でもこうしたご相談は少なくありません。歯周病で失われた組織は自然には戻らないため、従来は抜歯が選択される場面もありましたが、歯周組織再生療法の発展により選択肢が広がっています。その中心のひとつが**エムドゲイン(Emdogain®)**です。
エムドゲインとは
スウェーデンで開発された再生材料で、歯の発生過程に関わるエナメルマトリックスタンパク質を主成分とします。歯根表面に塗布することで、歯槽骨・歯根膜・セメント質などの再生を促し、失われた支持組織の回復を目指します。仙台エリアでも「エムドゲインで歯を残せないか」というお問い合わせが増えています。
エムドゲインとリグロスの違い
歯周組織再生療法ではリグロス(Regenos®)も用いられます。保険で使えるというメリットがある反面、効果が出やすいケースが限られるのがデメリットです。
一方のエムドゲインは自由診療ですが、適応の幅が広く、症例により再生量や長期安定性が見込みやすい点が強みです。
※いずれの再生療法も臨床的に安全性は報告されていますが、体質や既往歴に応じた問診と適応判断が前提です。
・エムドゲイン:動物由来成分を含むため、動物タンパク等のアレルギーの有無を事前に確認します。
・リグロス:成長因子製剤である性質上、腫瘍の既往・妊娠中/授乳中などは個別に慎重判断します(主治医と相談のうえ適応を決めます)。
なぜエムドゲインが有用なのか
- 適応の広さ
骨欠損が大きい・複雑なケースでも、人工骨の併用により適応できる可能性があり、治療の幅が広がります。
- 世界的な実績
1990年代から世界で使用され、多数の臨床研究で効果と再現性が裏付けられています。
- 長期安定性
再生した組織が長持ちしやすいとされ、数年後の再発リスクを抑えるうえで有利と報告されています。
エムドゲインが適しているケース
- 中等度〜重度の歯周病で骨の喪失が大きいが、歯の保存を望む方
- 「抜歯しかない」と言われたが諦めきれない方
- 歯の動揺があるが保存の可能性を探りたい方
- 若年で進行が速いタイプの歯周病 など
仙台でも実際にこうしたご相談が多く、専門的な再生療法が役立つ場面があります。
治療の流れと期間・費用
- 期間:概ね 3〜6か月(欠損の大きさ・生活習慣等で変動)
- 費用:1部位あたり10万円前後(自費)。人工骨併用や同時に行う処置がある場合は別途。
※リスクと限界:期待通りの再生が得られない/腫脹・疼痛・出血/創部感染など。喫煙や糖尿病は治癒に影響します。術前評価と術後の丁寧なメインテナンスでリスク低減に努めます。
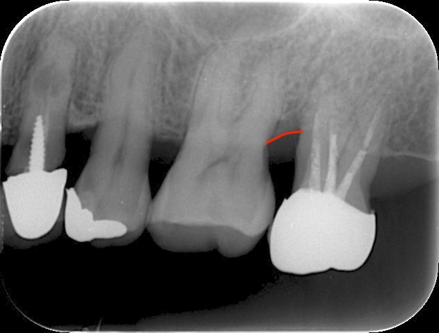
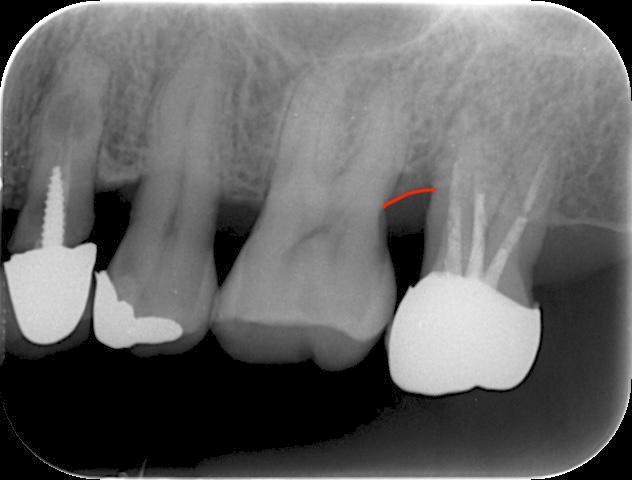
治療例
診査・診断:歯周病で支持骨の喪失が大きく、動揺・ポケット深化を認める。精査の上、エムドゲインによる再生療法で保存の可能性ありと診断。
手術の流れ:局所麻酔下で剥離・デブライドメント、歯根面処理→エムドゲイン塗布、必要に応じ人工骨併用、縫合。手術時間はおよそ1.5時間。
経過:術後の腫脹・疼痛は軽度で、2週間前後で抜糸。数か月後、骨様組織の充填とポケット改善を確認。現在はメインテナンスを継続しながら安定を維持。
監修:歯周病専門医 山内



