こんにちは。北四番丁神田歯科・矯正歯科で歯周病治療を担当している山内です。私は「日本歯周病学会専門医」として、仙台市を中心に数多くの歯周病患者さんと向き合ってきました。今日は、私が力を入れている**CTG(結合組織移植術)とFGG(遊離歯肉移植術)**について、そして「諦めてほしくない」という想いをお伝えします。
「もう歯を抜くしかない」と言われた方へ
仙台市内でも「歯がグラグラする」「歯肉から膿が出る」「口臭が気になる」といった歯周病の症状で来院される方は少なくありません。重度に進行すると「抜歯しかない」と診断されてしまうこともあります。
しかし、私は専門医として「本当に抜くしかないのか」を常に見極めます。正確な診断と外科的治療を組み合わせることで、まだ歯を残せる可能性は十分あるのです。
CTG(結合組織移植術)とは
CTGとは、上あごの口蓋から「結合組織」と呼ばれる内部の歯肉を採取し、歯肉が下がった部分や薄い部分に移植する治療法です。
効果
- 下がった歯肉を回復し、歯根を覆う
- 知覚過敏を軽減する
- 歯肉の厚みを増やし、将来の退縮を防ぐ
- 歯の見た目を自然に整える
FGG(遊離歯肉移植術)とは
FGGとは、上あごの口蓋から丈夫な歯肉を採取し、歯肉の薄い部分や下がった部分に移植する治療法です。
効果
- 歯肉を強化し、歯周病の進行を防ぐ
- 知覚過敏を改善する
- 歯の長さや歯肉のラインを整え、見た目を改善する
仙台市でも、矯正治療後に歯肉が下がった方や知覚過敏でお困りの方がこの治療を受けられています。
専門医にしかできない高度な技術
CTG、FGGは「歯肉を移植する」というシンプルな言葉とは裏腹に、非常に繊細な治療です。
- 歯肉の厚みや大きさの選定
- 移植部位での固定法
- 血流を保ちながらの術野管理
これらを的確に行わなければ、移植は定着しません。だからこそ、歯周病専門医としての経験と技術が必要なのです。私は大学病院での臨床経験を活かし、仙台市内でも数少ない高度な歯周外科治療を提供しています。
治療の流れ
1.精密検査
CTや歯周組織検査で、歯と歯肉の状態を三次元的に確認します。
2.移植床の作製
歯肉が薄く少ない場所に、移植するための場を作る。
3.歯肉の採取
上あごの口蓋から必要な大きさ・厚みの歯肉を採取。痛みや不快感を最小限にします。
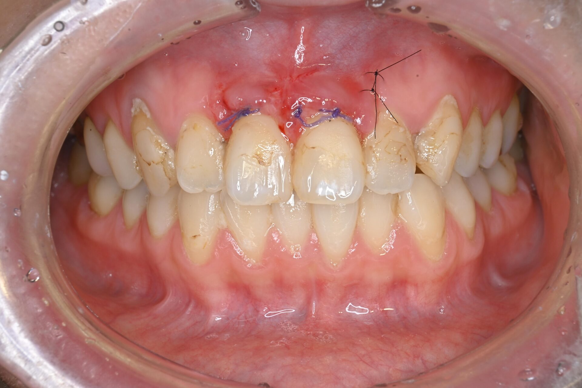
4.移植と固定
移植床に移植し、縫合・固定します。
5.治癒
数週間かけて定着し、自然な歯肉の形に落ち着きます。
よくある相談内容
当院には、歯周病や歯肉の後退で悩む多くの方が相談に来られます。特に多いのは次のようなお声です。
- 「矯正治療をしたら歯肉が下がってしまった」
歯並びは整ったのに、前歯の歯肉が下がって見た目が気になる。
- 「歯ブラシが当たると痛い」
歯肉が薄く、ブラッシングのたびに痛みを感じる。
- 「冷たい水で強い知覚過敏がある」
歯根が露出してしまい、食事や歯みがきがつらい。
- 「見た目が気になって人前で笑えない」
歯の長さが不揃いになり、自然に笑えなくなってしまった。
これらはいずれも、CTG(結合組織移植術)やFGG(遊離歯肉移植術)によって改善が期待できる症状です。歯肉を補うことで痛みや見た目が改善し、日常生活の快適さを取り戻せる可能性があります。
諦める前にご相談ください
歯周病や歯肉の後退は、自然には回復しません。しかし、FGGなどの専門治療を行えば、歯を残せる可能性が広がります。
仙台で「歯肉が下がって気になる」「歯を抜くしかないと言われた」という方は、ぜひ一度ご相談ください。私は専門医として、あきらめかけている方にこそ新しい選択肢を提示したいと考えています。
まとめ
CTG(結合組織移植術)、FGG(遊離歯肉移植術)は、歯周病の進行を防ぎ、知覚過敏や見た目を改善できる高度な歯周外科治療です。成功には専門的知識と技術が不可欠であり、仙台市内でも限られた歯科医師しか対応できません。
北四番丁神田歯科・矯正歯科では、大学病院レベルの治療を地域で受けられる体制を整えています。あきらめる前に、どうか一度ご相談ください。あなたの大切な歯を守るために、私たちが全力でサポートいたします。
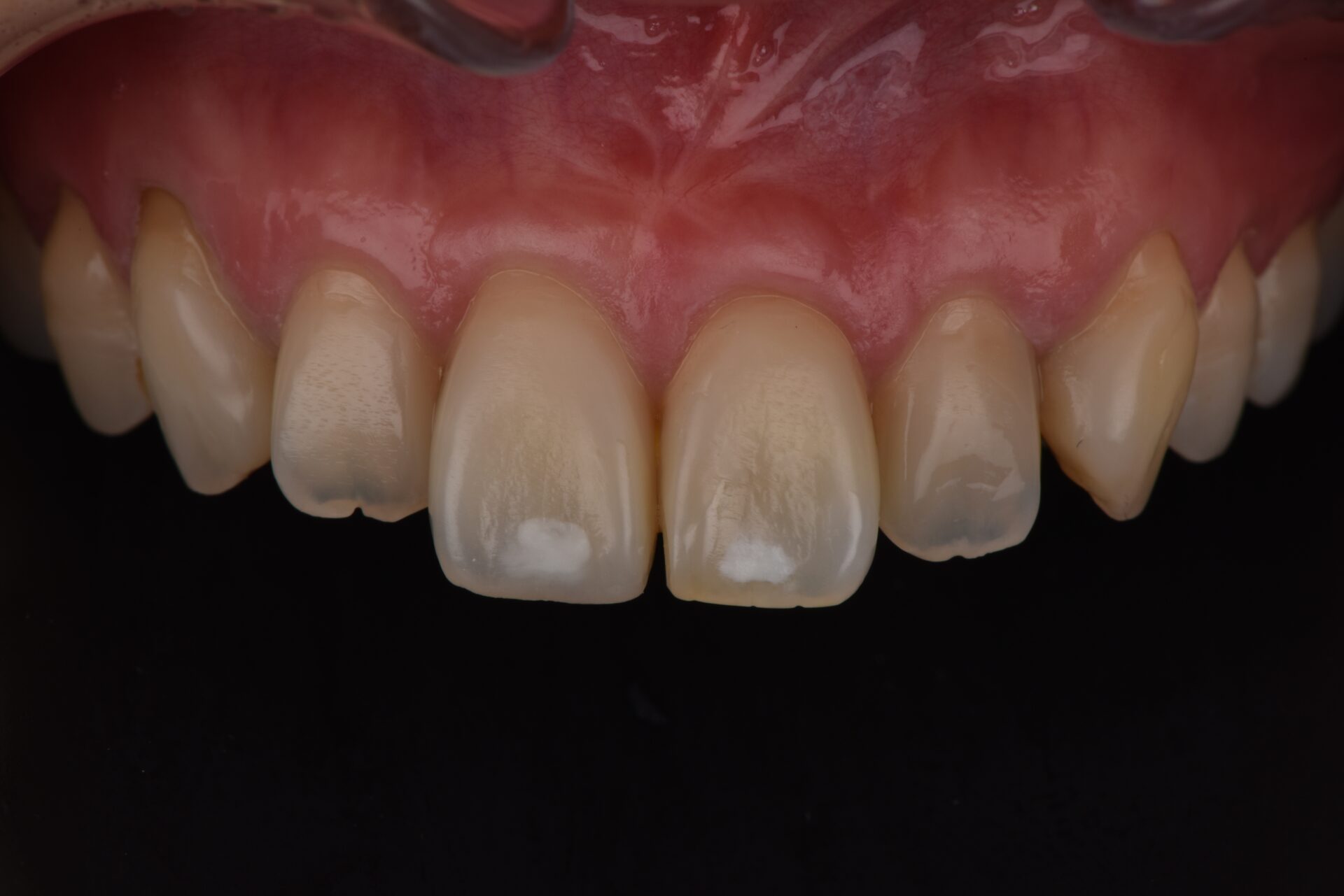
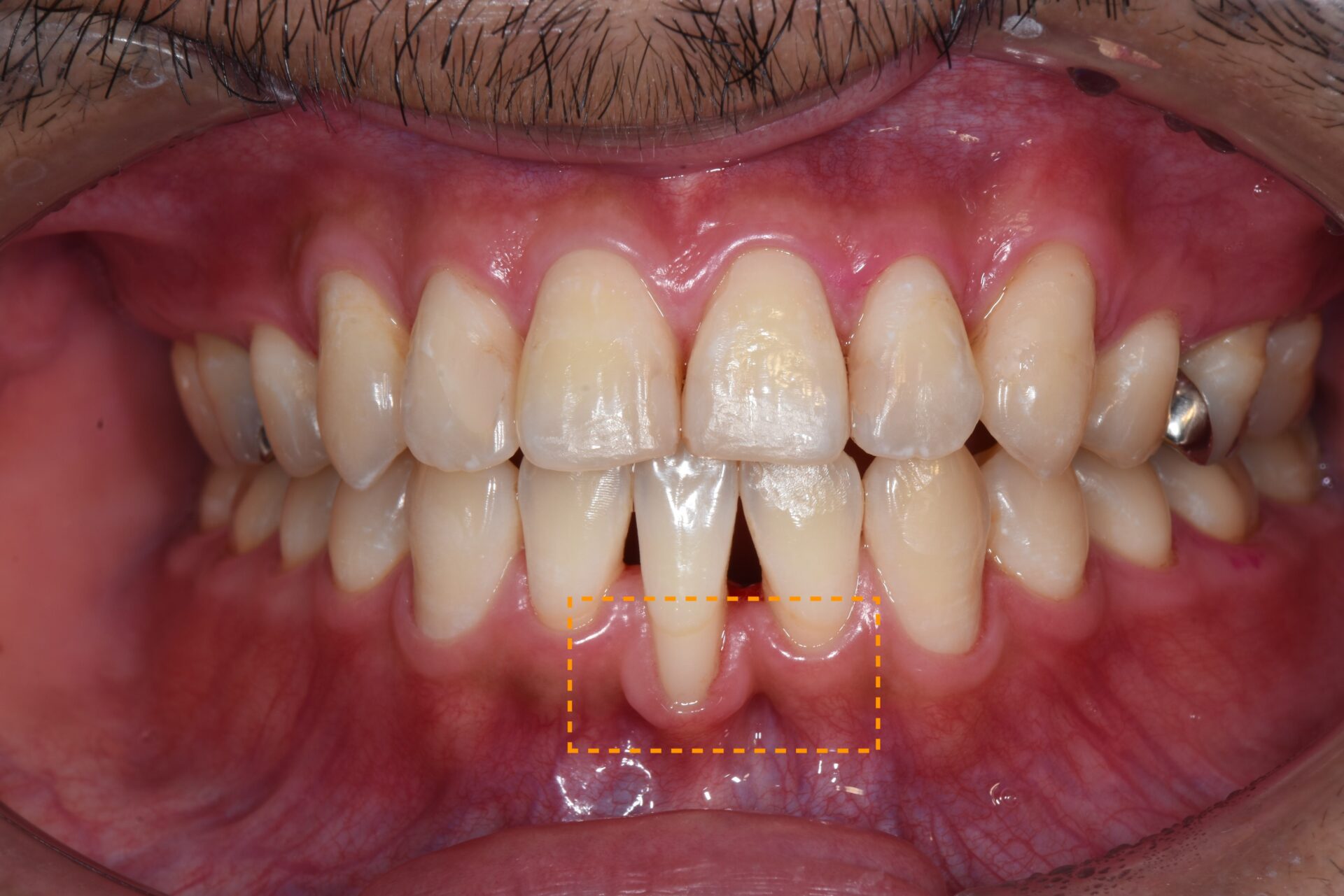
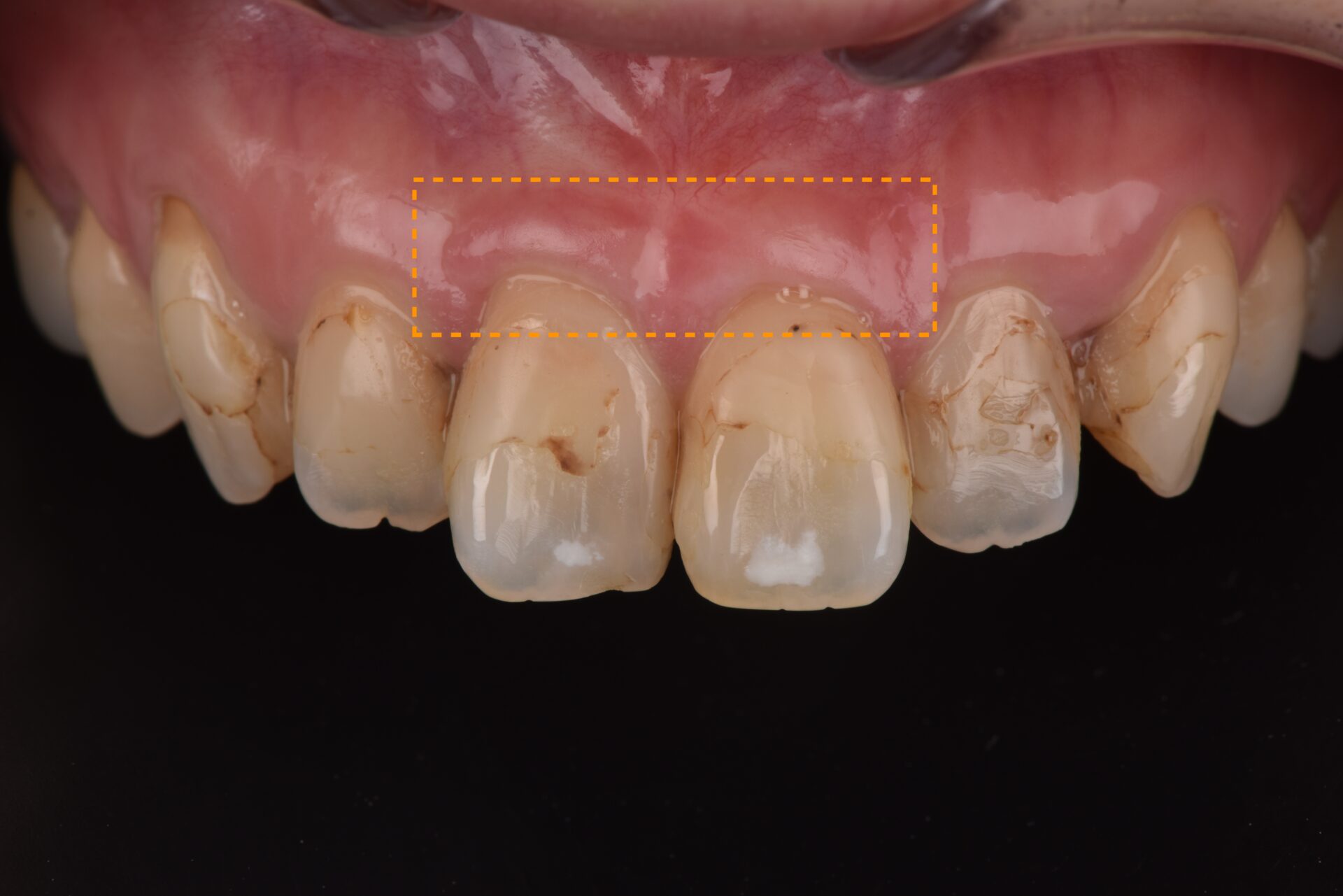
CTG(結合組織移植術) 臨床例①
前歯部の歯肉が薄く、付着歯肉が不足しているため、ブラッシングによる清掃が難しく炎症を繰り返していました。審美的にも不均衡が見られ、長期的な歯周組織の安定には改善が必要な状態でした。
3か月経過時には付着歯肉の幅が増加し、ブラッシングが容易になったことで炎症も改善。審美的にも自然な歯肉形態が得られました。その後だイレクトボンディングもしたことで歯の審美性も回復しました。
術前
術後
術後3ヶ月
ダイレクトボンディング後
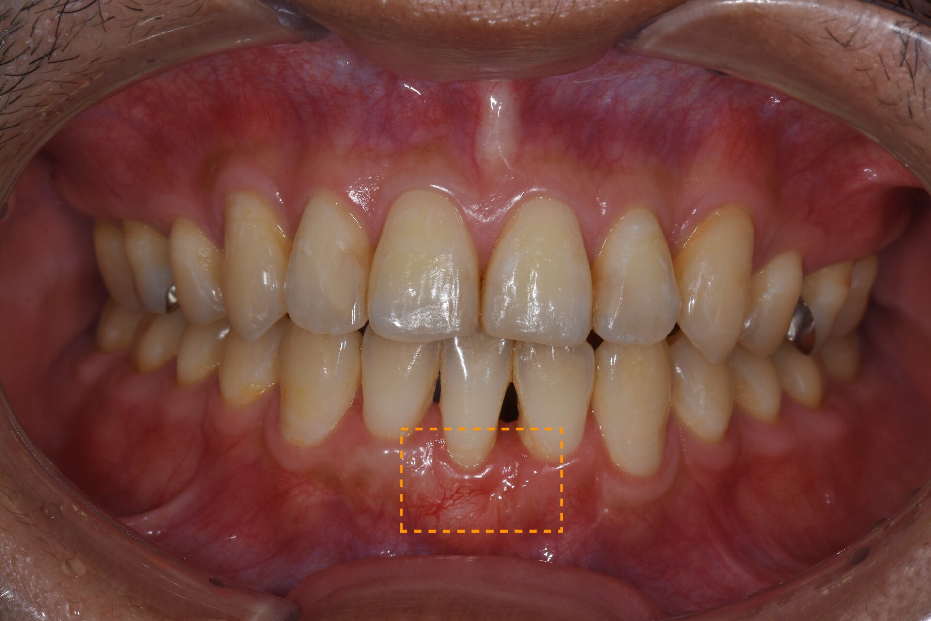
CTG(結合組織移植術) 臨床例②
矯正治療後、下顎前歯部の歯肉が退縮して歯根が露出し、見た目と機能の両面でお悩みでした。歯肉は非常に薄く、付着歯肉も不足しており、ブラッシング時に傷つきやすく、清掃が困難な状態でした。そのため、炎症を繰り返しており、審美的にも不均衡が見られました。長期的に歯周組織を安定させるには、外科的な介入が必要と判断しました。
3か月後には付着歯肉の幅がしっかりと増加し、炎症が改善。歯肉の厚みと付着歯肉の幅が増加し、ブラッシング時の出血や痛みが改善され、審美的に自然で調和の取れた歯肉ラインを獲得。長期的に安定した歯周組織環境を確立することができた。
術前
術前1ヶ月
術前3ヶ月
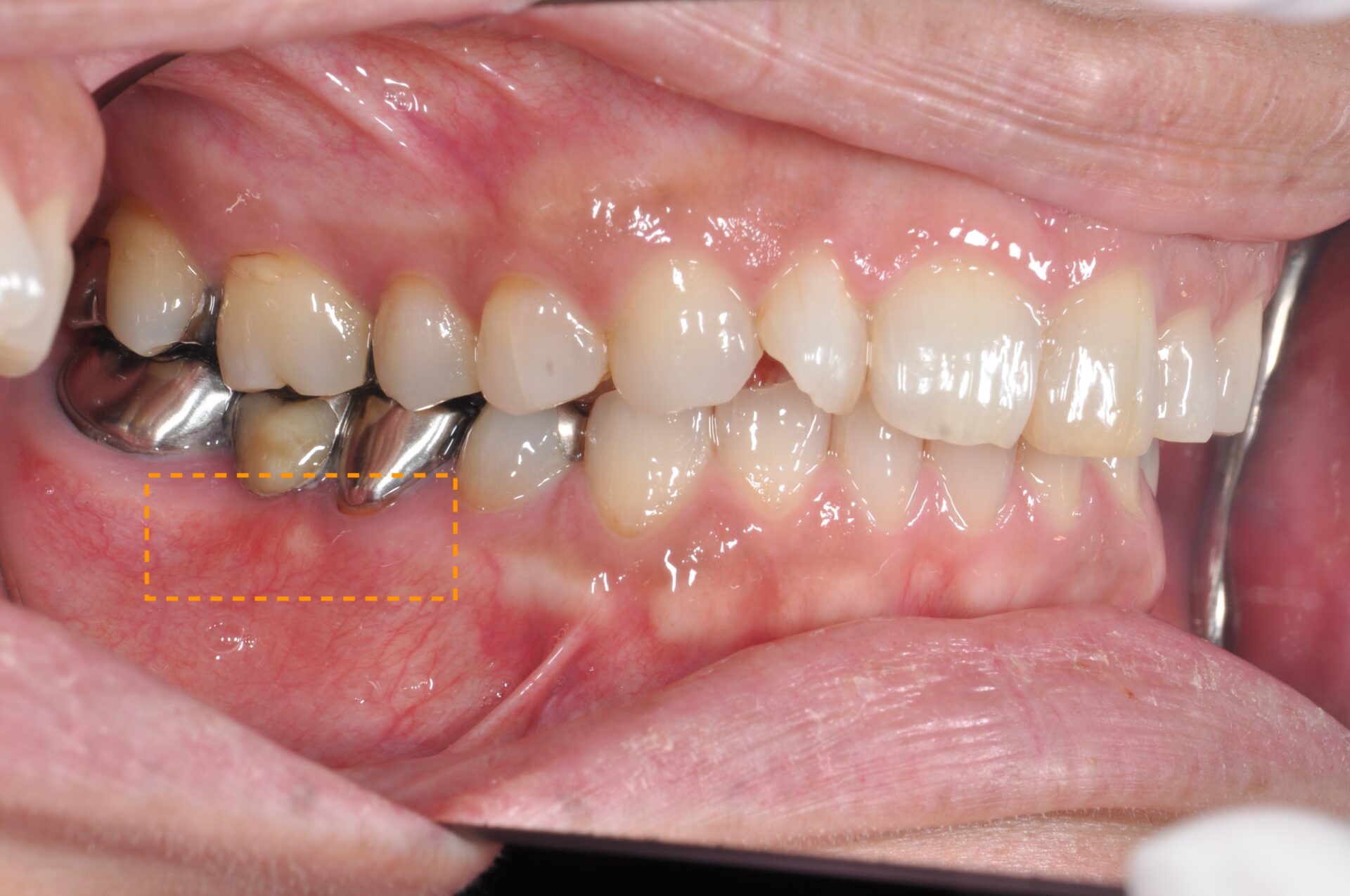
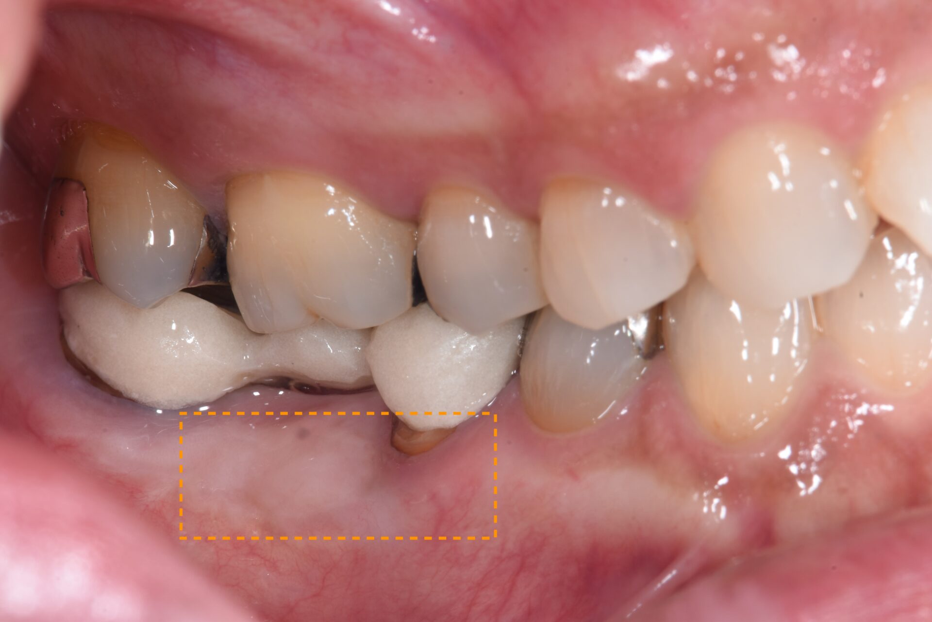
FGG(遊離歯肉移植術) 臨床例①
患者さんは、左下奥歯の周囲に付着歯肉が不足しており、ブラッシングの際に痛みがあり清掃が難しく、炎症を繰り返していました。歯肉が薄く柔らかいため、長期的な安定には不安があり、遊離歯肉移植術(FGG) を行うこととしました。
3か月後、角化歯肉がしっかりと定着し、清掃性の向上と炎症の改善を確認。歯周組織の環境が強化され、将来の歯の喪失リスクを低減することができた。
術前
術後1ヶ月
術後3ヶ月
監修:歯周病専門医 山内憲子










