抜歯即時埋入とは
インプラント治療は、歯を失った際に「天然歯に近い機能と見た目」を取り戻せる治療法として広く認知されています。従来は歯を抜いた後、骨や歯肉が治癒するまで数か月待ち、その後にインプラントを埋め込む流れが一般的でした。しかしこの期間中、患者さんは入れ歯や仮歯で不便を強いられることが多く、治療期間の長さが大きな課題でした。
そこで登場したのが「抜歯即時埋入」です。これは、歯を抜いたその日にインプラントを埋め込む方法で、治療期間を大幅に短縮できるだけでなく、抜歯直後の骨を最大限利用するため、骨や歯肉の吸収を防ぎやすいという大きなメリットがあります。
即時荷重とプロビジョナルレストレーション
さらに進歩した方法が「即時荷重」です。これはインプラントを埋入したその日のうちにプロビジョナルレストレーション(仮歯)を装着する治療法です。
この方法によって、患者さんは歯を失ったその日から「見た目も機能も回復」できるため、心理的・社会的なストレスを最小限に抑えることが可能になります。
プロビジョナルレストレーションの役割は単に「仮歯」としての見た目を整えることだけではありません。
- 審美性の確保:前歯部では特に、歯がない状態を避けられます。
- 歯肉の形態誘導:歯肉のラインを整え、最終補綴が自然に仕上がるよう準備します。
- 咬合調整:噛み合わせを最適化し、インプラントに過大な力が加わらないようにします。
高度で精密な技術が必要な理由
抜歯即時埋入+即時荷重は、患者さんにとって理想的な治療法ですが、誰にでも行えるものではありません。
- 抜歯直後の脆弱な骨に対し、数ミリ単位で正確な埋入位置・角度をコントロールする技術
- インプラントの初期固定を確実に得るための診断力と外科スキル
- プロビジョナルで歯肉をコントロールする補綴の知識とスキル
- 必要に応じて骨造成や歯肉移植を即時に判断できる包括的な治療技術
これらがすべて求められるため、実際にこの治療を安全に行える歯科医師は全国的にも限られています。大学病院や学会で研鑽を積み、豊富な症例経験を持つ一握りの歯科医師だけが、この治療を提供できるのです。
治療の流れ
- 診査・診断
CT撮影や口腔内スキャンを行い、骨量・骨質・歯肉の状態を三次元的に評価します。
- 抜歯
感染を最小限に抑え、周囲の骨を可能な限り温存するよう丁寧に歯を抜きます。
- インプラント埋入
抜歯窩を清掃し、インプラントを適切な深さ・角度で埋め込みます。十分な初期固定が得られることが即時荷重の条件です。
- プロビジョナルレストレーション装着
仮歯を装着し、噛み合わせを慎重に調整。見た目の自然さと歯肉の形態維持を両立させます。
- 治癒と最終補綴
数か月後、骨とインプラントの結合(オッセオインテグレーション)を確認し、セラミックなどの最終補綴物を装着します。
メリットとリスク
メリット
- 治療期間が大幅に短縮
- 歯がない期間を作らずに治療できる
- 歯肉のラインを整え、最終的に美しい仕上がりになる
- 噛む・話すといった機能をすぐに回復できる
リスク・注意点
- 初期固定が得られない場合は即時荷重できない
- 感染や骨吸収がある場合は適応外となることもある
- 術者の技術力に治療成績が大きく左右される
当院の取り組み ― 仙台で高度治療を提供
北四番丁神田歯科・矯正歯科では、高度で精密な包括的治療を地域で受けられる体制を整えています。歯科用CTやマイクロスコープを駆使し、骨や歯肉の状態を正確に評価。専門医として数多くの難症例を経験してきた歯科医師が、一人ひとりに合わせた治療を行っています。
「歯を抜いたらしばらく歯が入らないのでは?」という不安を解消し、その日から自然な見た目と噛む機能を取り戻すことを可能にするのが当院の強みです。
まとめ
抜歯即時埋入と即時荷重は、患者さんにとって大きなメリットをもたらす革新的な治療法です。しかし、それは同時に高度で精密な技術を要し、ごく限られた歯科医師だけが提供できる治療でもあります。
仙台市で「高度なインプラント治療を受けたい」「歯を失ったその日から見た目も機能も回復したい」とお考えの方は、ぜひ当院にご相談ください。大切な歯と口元を守り、安心と笑顔を取り戻すお手伝いをいたします。
実際の症例
抜歯前の状態
虫歯や歯の破折によって保存が難しくなった前歯。大きく崩壊しており、審美的にも機能的にも改善が必要な状態です。
抜歯後の状態
保存不可能な歯を丁寧に抜歯し、周囲の骨や歯肉をできるだけ温存しました。抜歯窩の清掃を行い、インプラント埋入の準備を整えます。
インプラント埋入
抜歯直後の骨に対し、精密な位置決めを行いながらインプラントを埋入します。十分な初期固定が得られたため、この症例では即時荷重が可能と判断しました。
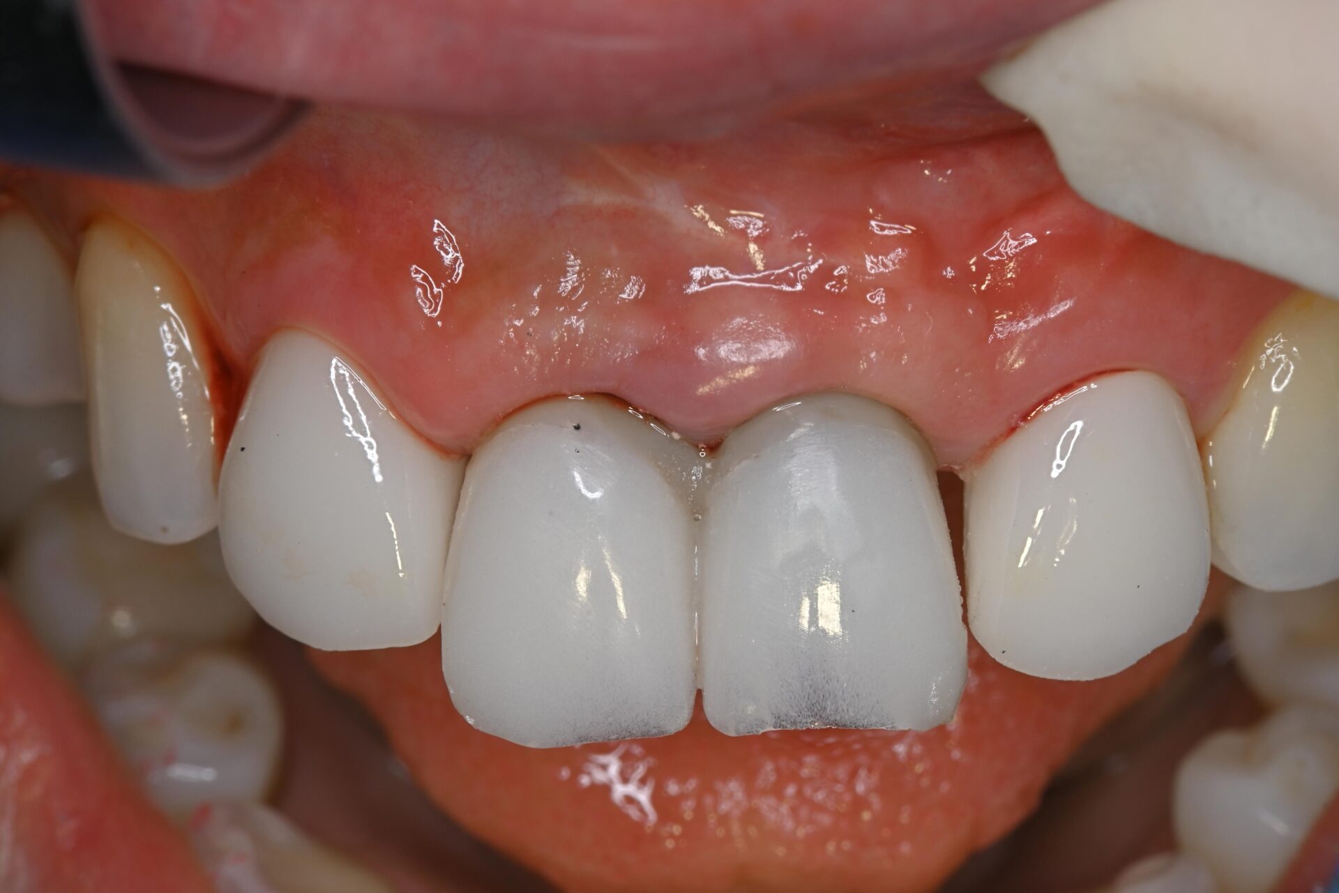
プロビジョナルレストレーションの装着
インプラント体を埋入したその日のうちに仮歯を装着。審美性を確保すると同時に、歯肉の形態を整える役割も担います。患者さんは治療当日から自然な見た目と会話・咀嚼機能を取り戻すことができました。
監修:院長 神田佳明(歯学博士)




