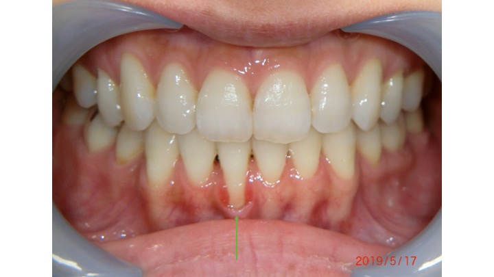
根面被覆術(こんめんひふくじゅつ)は、歯ぐきが下がって歯の根が露出してしまう「歯肉退縮(しにくたいしゅく)」を治療するための外科的手法ですが、一般的にはあまり知られていないかもしれません。
細かい作業の多い歯科治療の中でも、とりわけ繊細な手技を必要とする処置なので、どこの医院でも受けられるわけではないからです。
歯肉退縮が進行すると、見た目が悪くなるだけでなく、知覚過敏やむし歯のリスクも高まります。
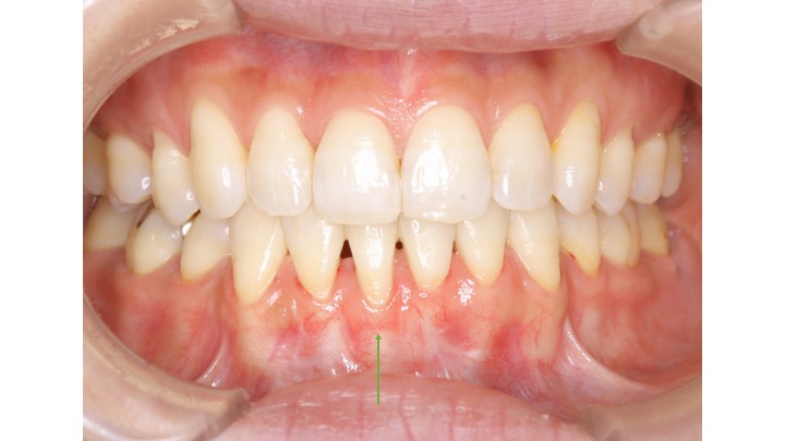
根面被覆術は、露出した根面(歯の根の部分)を歯ぐきで覆うことで、これらの問題を改善・予防する治療です。
今回は、根面被覆術について、その必要性や治療の流れ、メリット・デメリット、治療後のケアまで詳しく解説します。
1. 根面被覆術が必要なケース
歯肉退縮が起こる原因はさまざまです。主な原因としては、以下のものが挙げられます。
• 不適切なブラッシング: 歯ブラシで強くこすることで歯肉が傷つき、退縮が進行することがあります。
• 加齢: 歳をとるにつれて、自然と歯ぐきが下がることがあります。
• 歯周病: 歯肉炎や歯周炎などの歯周病が進行すると、歯を支える歯肉が徐々に下がっていきます。
• 歯列矯正や咬合の問題: 矯正力や不正な咬合により過剰な力が歯に加わると歯肉退縮を起こすことがあります。
根面が露出すると、歯の根の部分はエナメル質ではなく象牙質というやわらかい組織で覆われているため、冷たいものや甘いものを食べた際に痛みを感じる「知覚過敏」が生じやすくなります。
また、露出した根面はむし歯になりやすいため、適切な対処が必要です。
2. 根面被覆術の種類
根面被覆術には、いくつかの方法が存在します。患者さんの状態や歯ぐきの退縮の程度に応じて、最適な方法が選ばれます。
• 結合組織移植術: 患者さん自身の上顎の裏側から歯ぐきの結合組織のみを採取し、退縮した部分に移植し歯ぐきを持ち上げる方法です。結合組織のみを使うため、治癒後の適応が良いとされています。
• 遊離歯肉移植術: 歯肉組織を患者さん自身の上顎の裏から採取し、歯肉退縮が進行している部分に直接移植します。厚い歯肉が必要な場合に適していますが、色の違いが出ることがあります。
どちらの方法も、露出した根面を効果的に覆うことができますが、それぞれメリットやデメリットがありますので、担当の歯科医師とよく相談して決めることが大切です。
3. 根面被覆術のメリット
根面被覆術には、以下のような多くのメリットがあります。
• 見た目の改善: 歯肉が下がることで、笑った時に歯が長く見えることがあります。根面被覆術により、自然な歯ぐきのラインを取り戻すことができ、見た目も向上します。
• 知覚過敏の軽減: 根面が露出していると、冷たいものや酸っぱいものを食べた時に知覚過敏が生じることがありますが、歯ぐきで覆うことで症状が軽減します。
• むし歯予防: 露出した根面はむし歯になりやすいため、被覆することでむし歯のリスクを減らすことができます。
• 歯肉の健康を保つ: 歯肉の厚みを増やすことによって歯肉退縮が進行しないようになり歯周病の予防や進行を防ぐことができます。
4. 根面被覆術のデメリットとリスク
根面被覆術は、多くのメリットがある一方で、いくつかのリスクやデメリットもあります。
• 治療後の不快感: 外科的処置を伴うため、術後に腫れや痛みを感じることがあります。特に、移植した部位(口蓋など)は痛みが出ることがあります。
• 治療成功の限界: 完全に歯肉が回復しない場合や、移植した歯肉が一部定着しないことがあります。特に、喫煙者や歯周病が進行している患者さんはリスクが高くなりますが、禁煙または適切な歯周治療によりリスクは低く抑えられます。
• 治療期間の長さ: 移植された組織が完全に治癒するまでには数週間から数カ月かかることがあり、定期的なチェックが必要です。
5. 根面被覆術後のケア
根面被覆術が成功した後も、日常のケアが非常に重要です。術後のケアによって、治療の成功を持続させ、再び歯肉が退縮するのを防ぐことができます。以下のポイントに注意してください。
• ブラッシングの見直し: 強い力でブラッシングするのは禁物です。柔らかい歯ブラシを使い、優しく磨くことが大切です。また、歯科衛生士に正しいブラッシング方法を指導してもらうとよいでしょう。
• 定期的な歯科検診: 歯肉退縮の原因となる歯周病の早期発見と予防のため、定期的な歯科検診が必要です。
• 禁煙: 喫煙は歯肉の健康を著しく損なう要因です。術後の治癒を早め、再発を防ぐためにも、禁煙を心がけましょう。
6. まとめ
根面被覆術は、歯肉退縮による知覚過敏や見た目の改善に効果的な治療法です。
歯ぐきの健康を取り戻すためには、適切な治療と術後のケアが必要です。
歯肉の状態に応じた最適な治療法を選ぶためには、信頼できる歯科医師との相談が欠かせません。
治療後も、正しいブラッシングや定期的なケアを続けることで、健康な歯ぐきを長期間維持できるでしょう。
当院では、根面被覆術を得意とする歯周病専門医が所属しているため、この処置を受けることができます。
歯ぐき下がりが気になっているが、どうしようもないと諦めていた、あるいは根面被覆術ができる医院を探していた方は、ご相談ください。


